Laboratorio odontotecnico a Tenero

Protesi su misura che rispettano il tuo sorriso.

Dal 1999 affianchiamo gli studi dentistici con lavorazioni artigianali, materiali certificati e soluzioni digitali per risultati precisi, estetici e duraturi.

Ritiro e consegna quotidiani · Workflow digitale certificato

Lavorazioni di laboratorio
Precisione artigianale, tecnologia dove serve.

Servizi

Soluzioni su misura per ogni esigenza protesica.

Qualità estetica, funzionale e comfort per i vostri pazienti.

Protesi mobile

Protesi mobili

Scheletrate per rimpiazzare alcuni denti mancanti di un'arcata.

  • Stabilità, funzionalità e corretta ripartizione del carico masticatorio.
  • Massima attenzione all'estetica.
  • Materiali certificati, attenzione a igiene e protocolli.
Ribasaggio protesi mobile

Ribasaggi

Riadattiamo le protesi mobili per ripristinare stabilità e comfort.

  • Eliminare infiltrazioni d'aria senza ricorrere a paste adesive.
  • Resina aggiunta per seguire l'evoluzione dei tessuti gengivali.
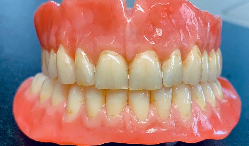
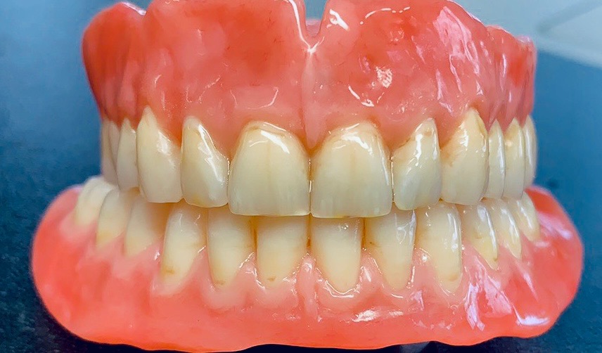
Protesi totale

Protesi totale

Soluzioni complete quando mancano tutti i denti di un'arcata.

  • Metodo e proporzioni per un sorriso naturale.
  • Masticazione funzionale per una protesi stabile.
  • Caratterizzazione di denti e della gengiva.
  • Materiale: resina, composito, ceramica su base in resina color gengiva.
Intarsi dentali

Intarsi

Ricostruzioni conservative per migliorare funzione masticatoria ed estetica.

  • Approccio conservativo che preserva la struttura sana del dente.
  • Materiali: composito, disilicato, ceramica e oro.
Impianti

Impianti

Soluzioni stabili e confortevoli, in collaborazione con lo studio.

  • Corone, ponti e protesi ibridie su impianti.
  • Componenti certificati Swiss made.
  • Supporto nella pianificazione clinica.
Faccette dentali (veneers)

Faccette dentali

Veneers in ceramica per valorizzare l'estetica del sorriso in modo altamente conservativo.

  • Armonizzare sorriso, forma e colore.
  • Preparazione minima dello smalto, massima conservazione.
  • Materiali: ceramica, composito e disilicato.
Soluzioni digitali

Soluzioni digitali

Workflow CAD/CAM con partner specializzati per risultati ottimali.

  • Workflow CAD/CAM - precisione, rapidità e ripetibilità.
  • Partner specializzati per soluzioni avanzate. Prodent 3Digital-vision.
  • Condivisione dei dati clinici per coordinare studio e laboratorio.
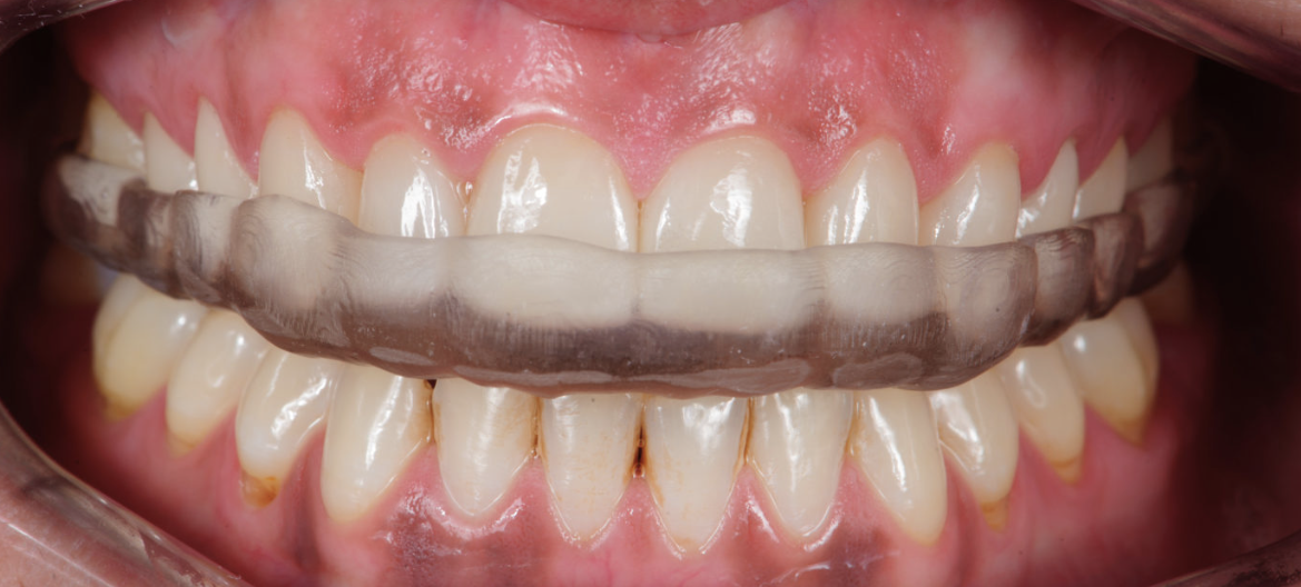
Ferula anti-bruxismo

Ferule anti-bruxismo

Bite personalizzato per la protezione dello smalto, dell'articolazione e della muscolatura.

  • Ferula Michigan distribuisce le forze e riduce l'usura notturna.
  • Comfort immediato per il benessere della muscolatura.
  • Materiale: resina, PMMA fresato o stampato.
Ferule sbiancamento

Ferule di sbiancamento "Bleaching"

Mascherine individuali per lo sbiancamento dentale.

  • Mascherine riutilizzabili e gel di perossido di carbammide 16 o 10 %.
  • Schiarimento graduale del dente controllato.

Laboratorio

Consulenza, progettazione e protesi per studi dentistici e pazienti esigenti.

Dental Art nasce dall’esperienza di Jarno Gatti. Uniamo cura artigianale e tecnologie aggiornate per garantire funzionalità, estetica e tempi certi.

  • Analisi dei casi e collaborazione diretta con lo studio medico.
  • Materiali selezionati e tracciabili, protocolli sanitari rigorosi.
  • Ritiro e consegna quotidiani nel Locarnese.
  • Workflow digitale certificato: scansioni, progettazione CAD/CAM e consulenza.
Jarno Gatti, titolare

Chi siamo

Jarno Gatti, fondatore e maestro odontotecnico.

Formatosi nel Mendrisiotto, Jarno fonda Dental Art nel 1999. Da allora collabora con studi dentistici e strutture sanitarie offrendo soluzioni su misura, affidabili e puntuali.

È in costante aggiornamento su tecniche e materiali e lavora a stretto contatto con i professionisti del territorio per garantire protesi funzionali, precise ed esteticamente armoniose.

Ogni lavoro nasce dall'ascolto del caso clinico e dall'attenzione ai dettagli, per ottenere un risultato naturale e confortevole per il paziente.

Dental Art è un laboratorio vicino ai dentisti: veloce, trasparente e orientato alla qualità. Un solo obiettivo: realizzare dispositivi che si fondono naturalmente con la bocca del paziente.

Contatti

Laboratorio Dental Art

Via San Gottardo 55
6598 Tenero, Ticino

+41 91 751 83 90
jarno.gatti@icloud.com

Orari: 09:00 - 17:00, lun–ven. Chiuso sabato e domenica.

Ritiro e consegna: servizio quotidiano nel Locarnese.

Invia un messaggio